2025.12.16
解离的肿瘤原代细胞(Dissociated Tumor Cells,DTCs)是通过酶解和机械消化从实体肿瘤中分离得到的单细胞悬液,包含肿瘤细胞、免疫细胞(T细胞、B细胞、NK细胞、髓样细胞)及支持细胞(成纤维细胞、内皮细胞),能更真实模拟人体内肿瘤的生物学特性,相比传统细胞系可减少因模型简化导致的假阳性/阴性结果,显著提高体外药效评估的可靠性,降低临床转化失败风险。DTCs通过提供高度仿生的研究模型,成为连接基础研究与临床试验的重要桥梁,其应用正在重塑从靶点发现到临床验证的药物开发路径。

图片来源:https://www.mdpi.com/2072-6694/13/11/2515
妙顺生物提供高品质
DTCs分离、冻存服务
体外药物筛选和评价
细胞毒性效应评估:研究人员能够利用DTCs评估潜在的新抗癌药物的细胞毒性效应。通过比较不同候选药物的效力,研究人员可以根据它们对DTCs的影响来优化其设计。
作用机制研究:研究人员可利用DTCs探究药物在细胞层面的作用机制。通过分析药物处理后DTCs中基因表达或蛋白质活性的变化,可为药物作用机制提供重要依据。
个性化医疗应用:基于个体患者的DTCs可用于评估各类药物的疗效,从而确定个性化的治疗方案。能提升癌症治疗的精准度,根据每位患者肿瘤的独特特征量身定制治疗方案。
肿瘤通常具有异质性,包含具有不同特征的癌细胞亚群。DTCs使研究人员能够模拟这种异质性,评估药物如何靶向不同的肿瘤细胞亚群。这对于开发有效应对癌症复杂性质的疗法至关重要。
抗体偶联药物(ADCs)是一类极具潜力的靶向抗癌疗法,兼具抗体的特异性与细胞毒性药物的杀伤活性。在 ADCs 的研发过程中,DTCs发挥着重要作用:
靶点识别与验证:DTCs有助于识别和验证癌细胞表面表达的靶抗原。通过分析 DTCs 中的蛋白表达谱,研究人员能够精准定位过表达或特异性表达的抗原,这类抗原可作为 ADCs 的潜在靶点。
药效检测:靶向抗原确定后,DTCs可作为检测ADCs抗体成分结合亲和力与特异性的有效平台。该机制确保ADC能特异性结合癌细胞,同时不损伤正常细胞。
细胞毒性检测:ADCs 需具备向癌细胞特异性递送细胞毒性载荷的能力。DTCs 可用于评估该递送过程的有效性,检测 ADCs 诱导靶向癌细胞死亡的能力。
耐药机制研究:耐药性是癌症治疗面临的重要挑战。DTCs可帮助研究ADCs的潜在耐药机制,为研究人员修改或优化 ADCs 制剂、克服耐药性、提升治疗效果提供支持。
临床前模型:将DTCs纳入临床前模型(如患者来源异种移植物PDX),可在生物学相关环境中更准确地评估ADCs的治疗潜力。这对于确保ADCs 在临床应用中的有效性至关重要。
妙顺依托多年的技术积淀,有针对性的开发了多种类型癌症的解离肿瘤细胞分离冻存服务,包括结直肠癌、胃癌、甲状腺癌等多种癌种,以满足多种应用场景的需求。
严格质量控制
提供完整临床数据集
低温冻存,使用便捷
提供同供体PBMC及癌旁正常组织(细胞)对照
无菌、无病原体
每批次均行免疫细胞及肿瘤细胞流式表征分析
所有批次提供详细COA

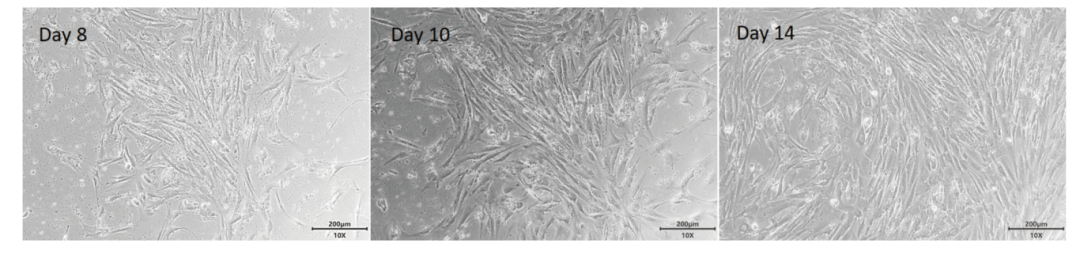
图2、结直肠癌DTCs复苏后用DMEM+10%FBS培养基培养若干天后的明场图

图3、不同肿瘤来源的DTCs冻存前后细胞活率对比,结果显示,新鲜 DTCs 整体保持较高活力(多数>80%);冻存后各肿瘤来源 DTCs 的活力虽有不同程度下降,但仍维持在 60% 以上,提示 DTCs 经冻存处理后仍具备可用于后续实验的细胞活性,且不同肿瘤类型 DTCs 的冻存耐受性存在一定异质性。

图4、不同患者来源的DTCs样本中肿瘤细胞与免疫细胞的相对比例存在显著异质性,未呈现统一分布模式,提示肿瘤组织中肿瘤细胞与免疫细胞的浸润平衡具有样本特异性,可能与肿瘤类型、分期及患者个体免疫状态相关。

图5、不同患者来源的DTCs样本中免疫细胞亚型的比例构成柱状图,结果显示,不同患者来源的DTCs样本中免疫细胞亚型的相对比例存在明显差异,免疫细胞群体组成具有显著样本异质性。


妙顺(上海)生物科技有限公司成立于2014年,总部位于上海,目前在浙江、江苏、山东和深圳均设有子公司。公司以细胞为核心支点,提供优质的药物临床前研究模型和工具,解决国内生物医药“卡脖子”问题,为客户提供小分子药物、单/双抗、CAR-T等细胞药物、抗体偶联药物(ADC)、肿瘤疫苗等创新药从药物筛选、体外药效研究、动物体内药效评价、药代动力学研究到毒理学评价等一系列全方位的药物发现及药效评价解决方案。
公司一直秉持着QbD理念,致力于打造国际标准化质量管理体系,先后引进了GCP、GMP、GLP、ISO(ISO 9001:2015/ISO 14001:2015/ISO 45001:2018)质量管理体系规范,从人、机、料、法、环各个角度,以确保客户获得高质量的服务,合作客户超1200家,受到一致好评。
